Notre Kajika Girios Dvasia a été saillie aux alentours du 20 juillet 2014 par le beau Airo Z Blatnickych Vinic (dont la page web est en construction.)

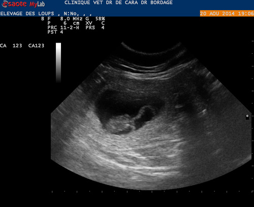
L'échographie pratiquée le 20 août 2014 a confirmé la gestaiton de kajika qui devrait mettre bas vers le 22 septembre prochain.

Les chiots de Kajika et Airo sont donc nés le 23 septembre dernier.
Dix petites merveilles ont donc rejoint la meute des Loups d'Akairo : 4 femelles et 6 mâles.

Kajika Girios Dvasia et ses 10 chiots





Voici l'évolution de cette portée au fil des jours
( cliquez sur la vignette pour afficher l'album et sur le lien pour visionner la vidéo )
Vidéo Naissance Chiots Chiens-Loups Tchécoslovaques - 23 septembre 2014
Vidéo Chiots Chiens-Loups Tchécoslovaques âgés de 1 jour - 24 septembre 2014
Vidéo Chiots Chiens-Loups Tchécoslovaques âgés de 2 jours - 25 septembre 2014
Vidéo Chiots Chiens-Loups Tchécoslovaques âgés de 3 jours - 26 septembre 2014
Vidéo Chiots Chiens-Loups Tchécoslovaques âgés de 4 jours - 27 septembre 2014
Vidéo Chiots Chiens-Loups Tchécoslovaques âgés de 5 jours - 28 septembre 2014
Vidéo Chiots Chiens-Loups Tchécoslovaques âgés de 6 jours - 29 septembre 2014
Vidéo Chiots Chiens-Loups Tchécoslovaques âgés d'1 semaine - 30 septembre 2014
Vidéo Chiots Chiens-Loups Tchécoslovaques âgés de 8 jours - 1er octobre 2014
Vidéo Chiots Chiens-Loups Tchécoslovaques âgés de 9 jours - 2 octobre 2014
Vidéo Chiots Chiens-Loups Tchécoslovaques âgés de 10 jours - 3 octobre 2014
Vidéo Chiots Chiens-Loups Tchécoslovaques âgés de 11 jours - 4 octobre 2014
Vidéo Chiots Chiens-Loups Tchécoslovaques âgés de 12 jours - 5 octobre 2014
Vidéo Chiots Chiens-Loups Tchécoslovaques âgés de 13 jours - 6 octobre 2014
Vidéo Chiots Chiens-Loups Tchécoslovaques âgés de 2 semaines - 7 octobre 2014
Vidéo Chiots Chiens-Loups Tchécoslovaques âgés de 15 jours - 8 octobre 2014
Vidéo Chiots Chiens-Loups Tchécoslovaques âgés de 16 jours - 9 octobre 2014
Vidéo Chiots Chiesn-Loups Tchécoslovaques âgés de 17 jours - 10 octobre 2014
Vidéo Chiots Chiens-Loups Tchécoslovaques âgés de 18 jours - 11 octobre 2014
Vidéo Chiots Chiens-Loups Tchécoslovaques âgés de 19 jours - 12 ocotbre 2014
Vidéo Chiots Chiens-Loups Tchécoslovaques âgés de 20 jours - 13 octobre 2014
Vidéo Chiots Chiens-Loups Tchécoslovaques âgés de 3 semaines - 14 octobre 2014
Vidéo Chiots Chiens-Loups Tchécoslovaques âgés de 22 jours - 15 octobre 2014
Vidéo Chiots Chiens-Loups Tchécololvaques âgés de 23 jours - 16 octobre 2014
Vidéo Chiots Chiens-Loups Tchécoslovaques âgés de 24 jours - 17 octobre 2014
Vidéo Chiots Chiens-Loups Tchécoslovaques âgés de 25 jours - 18 octobre 2014
Vidéo Chiots Chiens-Loups Tchécoslovaques âgés de 26 jours - 19 octobre 2014
Vidéo Chiots Chiesn-Loups Tchécoslovaques âgés de 27 jours - 20 octobre 2014
Vidéo Chiots Chiens-Loups Tchécoslovaques âgés de 4 semaines - 21 octobre 2014
Vidéo Chiots Chiens-Loups Tchécoslovaques âgés de 29 jours - 22 octobre 2014
Vidéo Chiots Chiens-Loups Tchécoslovaques âgés d'1 mois - 23 octobre 2014
Vidéo Chiots Chiens-Loups Tchécoslovaques âgés de 31 jours - 24 octobre 2014
Vidéo Chiots Chiens-Loups Tchécoslovaques âgés de 32 jours - 25 octobre 2014
Vidéo Chiots Chiens-Loups Tchécoslovaques âgés de 33 jours - 26 octobre 2014
Vidéo Chiots Chiens-Loups Tchécoslovaques âgés de 34 jours - 27 ocotbre 2014
Vidéo Chiots Chiens-Loups Tchécoslovaques âgés de 5 semaines - 28 octobre 2014
Vidéo Chiots Chiens-Loups Tchécoslovaques âgés de 36 jours - 29 octobre 2014
Vidéo Chiots Chiens-Loups Tchécoslovaques âgés de 37 jours - 30 octobre 2014
Vidéo Chiots Chiens-Loups Tchécoslovaques âgés de 38 jours - 31 octobre 2014
Vidéo Chiots Chiens-Loups Tchécoslovaques âgés de 39 jours - 1 novembre 2014
Vidéo Chiots Chiens-Loups Tchécoslovaques âgés de 40 jours - 2 novembre 2014
Vidéo Chiots Chiens-Loups Tchécoslovaques âgés de 41 jours - 3 novembre 2014
Vidéo Chiots Chiens-Loups Tchécoslovaques âgés de 6 semaines - 4 novembre 2014
Vidéo Chiots Chiens-Loups Tchécoslovaques âgés de 43 jours - 5 novembre 2014
Vidéo Chiots Chiens-Loups Tchécoslovaques âgés de 44 jours - 6 novembre 2014
Vidéo Chiots Chiens-Loups Tchécoslovaques âgés de 45 jours - 7 novembre 2014
Vidéo Chiots Chiens-Loups Tchécoslovaques âgés de 46 jours - 8 novembre 2014
Vidéo Chiots Chiens-Loups Tchécoslovaques âgés de 48 jours - 10 novembre 2014
Vidéo Chiots Chiens-Loups tchécoslovaques âgés de 7 semaines - 11 novembre 2014
Vidéo Chiots Chiens-Loups Tchécoslovaques âgés de 50 jours - 12 novembre 2014
Vidéo Chiots Chiens-Loups Tchécoslovaques âgés de 51 jours - 13 novembre 2014
Vidéo Chiots Chiens-Loups Tchécoslovaques âgés de 52 jours - 14 novembre 2014
Vidéo Chiots Chiens-Loups Tchécoslovaques âgés de 53 jours - 15 novembre 2014
Depuis 3 ans, nos chiots bénéficient du programme ENS = Early Neurological Stimualtion.
Ce programme mis en place par l'armée américaine permet de désensibiliser les chiots au stress et d'augmenter leur aptitude au dressage. Il consiste en 5 exercices successifs.
Nous commençons l'ENS lorsque les chiots ont 3 jours et ces exercices sont effectués tous les jours.
Vidéo programme ENS chiot chien-loup tchécoslovaque âgé de 3 jours - 26/09/14
Vidéo programme ENS chiot chien-loup tchécoslovaque âgé de 13 jours - 06/10/14
Nous pesons les chiots tous les jours afin de surveiller leur prise de poids et de déceler un éventuel soucis
Courbe de croissance chiots chiens-loups tchécoslovaques de la naissance à 7 semaines
Nos chiots sont vermifugés tous les 15 jours. La première fois, c'était le lendemain de la naissance via le lait maternel puisque nous avions mis Kajika sous Panacur 500 pendant 3 jours. Puis vermifugation avec du Drontstop Chiot à 18 jours , et avec du Panacur à 34-35 et 36 jours.
Les chiots ont de nouveau été déparasité à 48 jours en préparation de la primo-vaccination avec du Milbemax chiot pour les parasites internes et du Frontline Combo 2-10 kg pour les parasites externes.
Tous nos chiots sont identifiés par puce, primo-vaccinés et ont subit un prelèvement buccal afin d'établir leur carte ADN et un certificat de parenté prouvant qu'ils sont bien issus du mariage annonçé.
Vidéo visite pédiatrique chiots chiens-loups tchécoslovaques âgés de 50 jours - 12 novembre 2014











Ces chiots ont quittés l'élevage à 8 semaines révolues. Nous les séparons de la meute la veille de leur départ afin que la première nuit sans congénères se fasse en territoire connu. Les chiots sont également mis sous homéopathie et sous collier Adaptil plusieurs jours avant la séparation ce qui leur permet de mieux s'adapter à leur nouvel environnment.




















































